
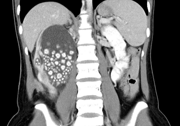
Ameliyatın yapıldığı Chi Mei Hastanesi tarafından yapılan açıklamada, Yu’nun su içmeyi sevmediği ve sadece şekerli içecekler ile çay tükettiği belirtildi. Xiao Yu’nun beslenme alışkanlıklarının kötü olduğunu vurgulayan Chi Mei Hastanesi’ndeki doktorlar ise, Tayvanlılara daha sağlıklı gıdalar tüketmeleri ve bol bol su içmeleri konusunda uyarılarda bulundu.
Öte yandan, Chi Mei Hastanesi Ürologu Lin Tsai-yang, Tayvan’daki erkeklerin yüzde 14,9’unda, kadınların ise yüzde 4,3’ünde böbrek taşı oluşma ihtimali bulunduğunu kaydetti.


















